Исправление всех аномалий прикуса

Неправильный прикус - достаточно распространенная патология и выражается в неправильном смыкании зубных рядов верхней и нижней челюстей.
Прикус формируется еще с момента прорезывания зубов и важно отслеживать его правильное формирование с детского возраста.
Причины неправильного прикуса:
- Генетика. Особенности строения челюстей могут передаваться по наследству и если нарушения прикуса есть у родителей с большей долей вероятности нарушение прикуса будет и у ребенка.
- Вредные привычки. Сосание пальца, верхней губы, ротовое дыхание и неправильное глотание, удержание карандашей либо других предметов приводит к нарушению смыкания зубных рядов
- Хронические гаймориты и аденойды. Ребенок приучается дышать ртом, что пагубно сказывается на формировании лицевого скелета
- Нарушение осанки. Неправильное формирование скелетных мышц и нарушение осанки способствует развитию неправильного прикуса у детей.
Виды прикуса
Выделяют следующие виды неправильного прикуса:
- дистальный прикус (верхняя челюсть выдается вперед относительно нижней);
- мезиальный прикус (нижняя челюсть выдается вперед относительно верхней);
- глубокий прикус (верхние зубы совсем закрывают нижние);
- открытый прикус (при закрывании челюстей есть пространство между зубами;
- перекрестный прикус (челюсть в закрытом положении смещена относительно другой челюсти влево или вправо);
- сочетанные патологии прикуса.

Лечение неправильного прикуса в Минске
Исправлять прикус сейчас можно в любом возрасте. Исправление прикуса у детей с временным или смешанным прикусом удобно лечить на съемных пластинках и аппаратах, таких как MYOBRACE, TRAINER, LM – активатор, так как их челюсти растут и изменения от лечения идут более значительно, нежели у взрослых.
Далее к 12-13 годам, когда у подростков появляется осознанность и более полости рта, появляется возможность лечения с помощью брекет-системы.
Важность хорошей гигиены и ухода за полостью рта и брекетами доносится до детей и их родителей на консультации и затем в ходе всего лечения. Это залог сохранения здоровья зубов в процессе лечения.
Исправление прикуса у взрослых проводится с помощью различных брекет-систем и элайнеров.
Показания
- неправильный прикус
- наклон или ротация зуба
- выраженные эстетические дефекты зубного ряда
- подготовка к протезированию
Противопоказания
- онкология
- инфекции в декомпенсированной форме (ВИЧ, сифилис, туберкулез)
- ранний детский возраст

Этапы исправления прикуса брекетами в Минске:
- Консультация. На консультации выясняется причина обращения. Проводится осмотр и анализ профиля лица. Если пациент настроен, то делаются фото и снимаются оттиски для изготовления гипсовых моделей и их анализа.
- Анализ гипсовых моделей, анализ рентгенограммы и ТРГ, анализ фото, замер пространства.
- Санация полости рта и если необходимо по направлению от ортодонта удаление определенных зубов.
- Выбор брекет-системы.
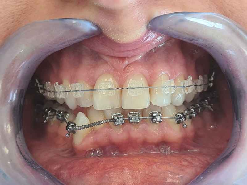
- Установка брекет-системы. Перед фиксацией брекетов проводится профессиональная гигиена. Зубы не нужно пилить. Каждый брекет устанавливается на зуб при помощи специального клея. А также на опорные шестые либо седьмые зубы устанавливают замки. Сверху на брекеты одевают дуги и фиксируют их замками, а также металлическими или эластическими лигатурами. Для разобщения прикуса на жевательные зубы устанавливают композиционные накладки. Первые несколько дней после фиксации зубы могут быть чувствительными- это нормально. Зубы уже начинают перемещаться, хотя пока это не заметно.
- Активация. Активация включает в себя замену дуги на более жесткую. Проводится каждые 1.5 месяца. А также меняются металлические или эластические цепочки, пружины, а также проверяются специальные накладки для разобщения прикуса. В конце лечения доктор их устраняет. В этот период очень важен уход за полостью рта. Рекомендуется отказаться от твердой и клейкой пищи (орехи, сухари, жесткое мясо, жевательные резинки, тягучие конфеты и халва, а также чрезмерно красящих продуктах при эстетических белых брекетах).
- Снятие брекет-системы. Ношение брекетов в среднем занимает 1.5-2 года, но иногда больше. Срок ношения брекетов зависит от ухода за полостью рта, дисциплины и четкости замены дуг. Врач убирает брекеты, полирует зубы и изготавливает пластинки, каппы для исправления прикуса либо ретейнеры для ретенционного периода.
- Ретенция. Удержание результата лечения является очень важным этапом.
| Цена исправления прикуса в Минске | |
| Цифровой панорамный снимок | 25 руб. |
| КЛКТ(3D-исследование челюстей) | 35 руб. |
| Консультация врача ортодонта | от 30 руб. |
| Съемный одночелюстной аппарат | от 300 руб. |
| Каппа ретенционная (на одну челюсть) | от 250 руб. |
| Съемный одночелюстной аппарат со сложными элементами | 350 руб. |
| Лечение трейнером | 350 руб. |
| Активация съемного аппарата | 50 руб. |
| Установка брекет-системы на одну челюсть, лингвальные | 3520-4125 руб. |
| Брекет система на одну челюсть, фиксация (металлическая) | 1800 руб. |
| Брекет система на одну челюсть, фиксация ( DAMON Q) | 2500 руб. |
| Брекет система на одну челюсть, фиксация ( DAMON CLEAR) | 3000 руб. |
| Брекет система на одну челюсть ,фиксация (сапфировые) | 2500 руб. |
| Снятие слепков | от 65 руб. |
| Установка ретейнера | 220 руб. |
| Снятие брекетов одна челюсть | 330руб. |
После завершения процесса ортодонтического лечения, для достижения идеальной улыбки часто проводят офисное отбеливание зубов и по показаниям установку керамических виниров.
Помните, что исполнить свою мечту по исправлению прикуса можно в любом возрасте! Но чем моложе пациент, тем легче и эффективнее достигается позитивный эффект. Врач ортодонт клиники «Гармония Улыбки» на консультации посоветует Вам подходящий по цене и конструкции вариант системы для исправления прикуса.
Обращайтесь в нашу клинику за хорошим результатом по оптимальным ценам!
